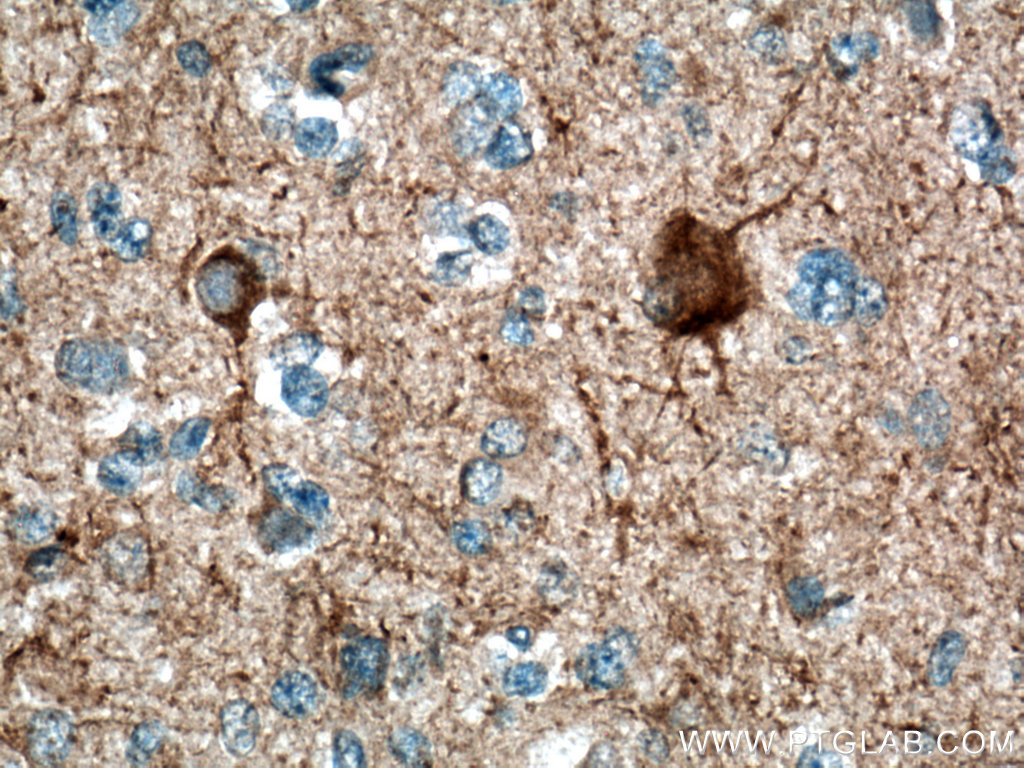
Neurofilament, heavy polypeptide (NEFH) is a protein that in humans is encoded by the NEFH gene.
It is the gene for a heavy protein subunit that is combined with medium and light subunits to make neurofilaments, which form the framework for nerve cells.
Mutations in the NEFH gene are associated with Charcot-Marie-Tooth disease.
References

![]()
![]()

